La Estética es una de nuestras pasiones, por lo que ofrecemos a nuestros pacientes todos los tratamientos de última generación que existen actualmente para aportar, siempre desde la personalización, aquellos detalles que pueden hacer mejorar el color y forma de nuestros dientes.
Mejorando así tu sonrisa, tan importante en la estética facial ,y eligiendo para ti el tratamiento más adecuado.
Las carillas de composite se elaboran directamente sobre los dientes, aplicando el material sobre su parte visible y dándole forma hasta conseguir el aspecto deseado. Es un tratamiento que realizaremos en clínica, obteniendo resultados rápidos, estéticos y duraderos. A su vez, cuenta con la ventaja de poder ser modificado o reparado en consulta si fuera necesario.
Las carillas de cerámica se colocan sobre los propios dientes para corregir pequeñas alteraciones de forma o color. Se realizan manualmente y de forma artesanal por el técnico de laboratorio para aportar a cada diente características y detalles que los personalicen. Conseguimos altos niveles estéticos con brillo y acabado espectaculares.
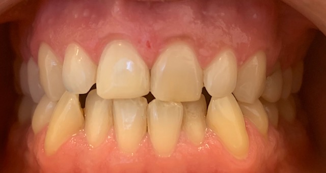
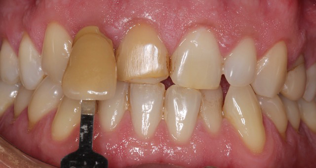
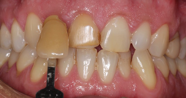
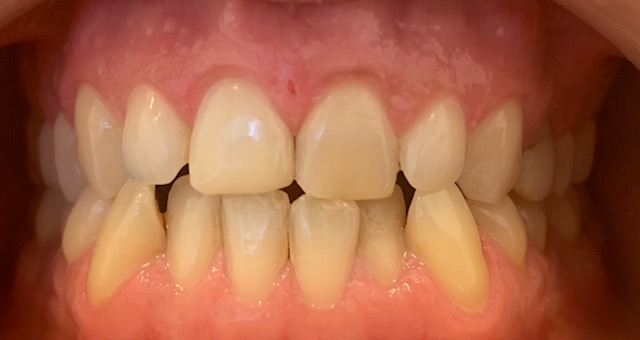
Podemos blanquear nuestros dientes de manera individual si fuera necesario, debido a oscurecimientos de dientes causados por golpes, tratamientos antiguos, etc. consiguiendo así un blanqueamiento interno.
O sin embargo, blanquear conjuntamente toda nuestra dentadura para conseguir un esmalte más claro y favorecedor, tratamiento conocido como blanqueamiento externo. Para ello utilizaremos productos de la más alta calidad y con un control cercano para evaluar y controlar posibles sensibilidades.
Se trata de un blanqueamiento progresivo, en ambos casos, que se ajusta a las necesidades, sensibilidad y expectativas de cada paciente.




